Specimen Image
Gross description-A specimen show leiomyoma are typically sharply circumscribed, firm gray-white masses with a characteristic whorled cut surface.
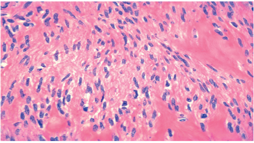
Microscopic description-On histologic examination, the tumors are characterized by interlacing bundles of smooth muscle cells mimicking the appearance of normal myometrium. 
Rack Number
Specimen QR