Specimen Image
Gross description: A specimen of uterus with cervix total measuring (15x13) cm. On Cut surface show yellowish whitish large mass identified involving fundus, body, lower uterine segment measuring 14x9 seen.
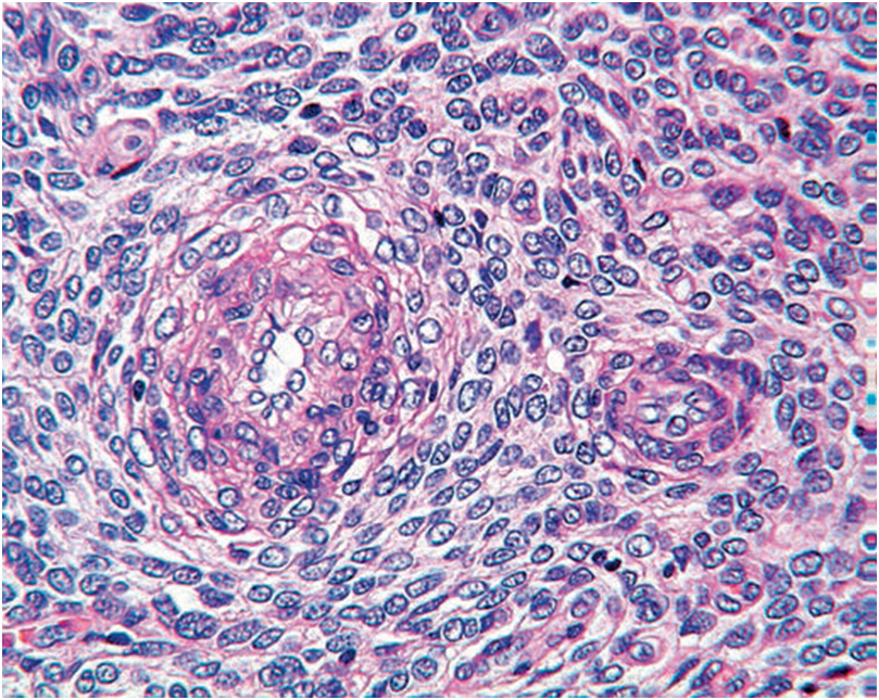
Microscopic description-The sections show are composed of uniform, predominantly oval, small cells, very closely resembling those of the endometrial stroma. Tumor is composed of bland oval nuclei arranged around concentrically round spiral arterioles. Mitotic activity seen.

Rack Number
Specimen QR